세종치과 의료진의
세가지 약속

세종Story

수/ 시술 후 개인에 따라 결과의 차이 및 감염 등 부작용이 발생할
수 있으므로 의료진과 충분한 상담 후 수/시술을 결정하시길 바랍니다.

치아 브릿지 대신, 임플란트로 상실 치아 회복
관리자 2025-11-18 29

 

 

안녕하세요, 부산임플란트 세종치과입니다.

임플란트 치료란 치주 질환이나 사고 등으로 상실된 치아의 빈자리에 인체에 무해한 티타늄으로 제작된

픽스처 기둥을 심고, 그 위에 자연치아와 유사한 보철물을 씌어 본래 내 치아와 같은 기능을 회복시켜 주는 치료입니다.

이런 임플란트 치료가 대중화되기 전에는 부분적인 치아 상실의 치료 방법으로 브릿지 치료가 많이 사용되어 왔는데요.

 


 

부산임플란트 세종치과 10주년 기념으로 2014년에 내원하신 환자분의 케이스를

통해 브릿지와 임플란트의 장단점을 알아보는 시간을 가져보도록 하겠습니다.

환자분의 경우 첫 내원을 했을 때 치아를 상실한 부위를 치아 브릿지로 치료를 하신 상태였는데요.

 

 

 

<치아 브릿지 치료의 장점>


1. 치료 기간이 짧다

2. 치료 비용이 비교적 적다

3. 치아 형태를 자연스럽게 회복할 수 있다

치아 브릿지는 최소 3개의 치아 모양을 갖고 있으며 상실한 부위의 주변 자연치아에 다리를 걸어 연결하는 방식입니다.

 

 

 

 

<치아 브릿지의 단점>

 

주변의 건강한 치아를 삭제하여 씌워야 한다는 단점이 있으며, 보철의 수명이 임플란트 보다 짧습니다.

브릿지는 일반적으로 8년 정도의 수명을 가지고 있지만, 관리가 잘되지 않을 경우 평균 수명 전에

재치료를 해야 할 수 있습니다.

 

 

 

 

 

그리고 보철이 들뜨는 등의 문제가 발생하게 되면 보철물과 잇몸 틈 사이로 음식물이 쌓이고 잇몸에 염증이나 충치를 유발할 수 있습니다.

 

 

 

브릿지의 단점을 '임플란트 브릿지'보완해 줄 수 있는데요.

임플란트 브릿지는 임플란트와 브릿지를 연결하여 임플란트 식립 개수를 줄이고 다수의 치아를 회복하는

치료입니다.

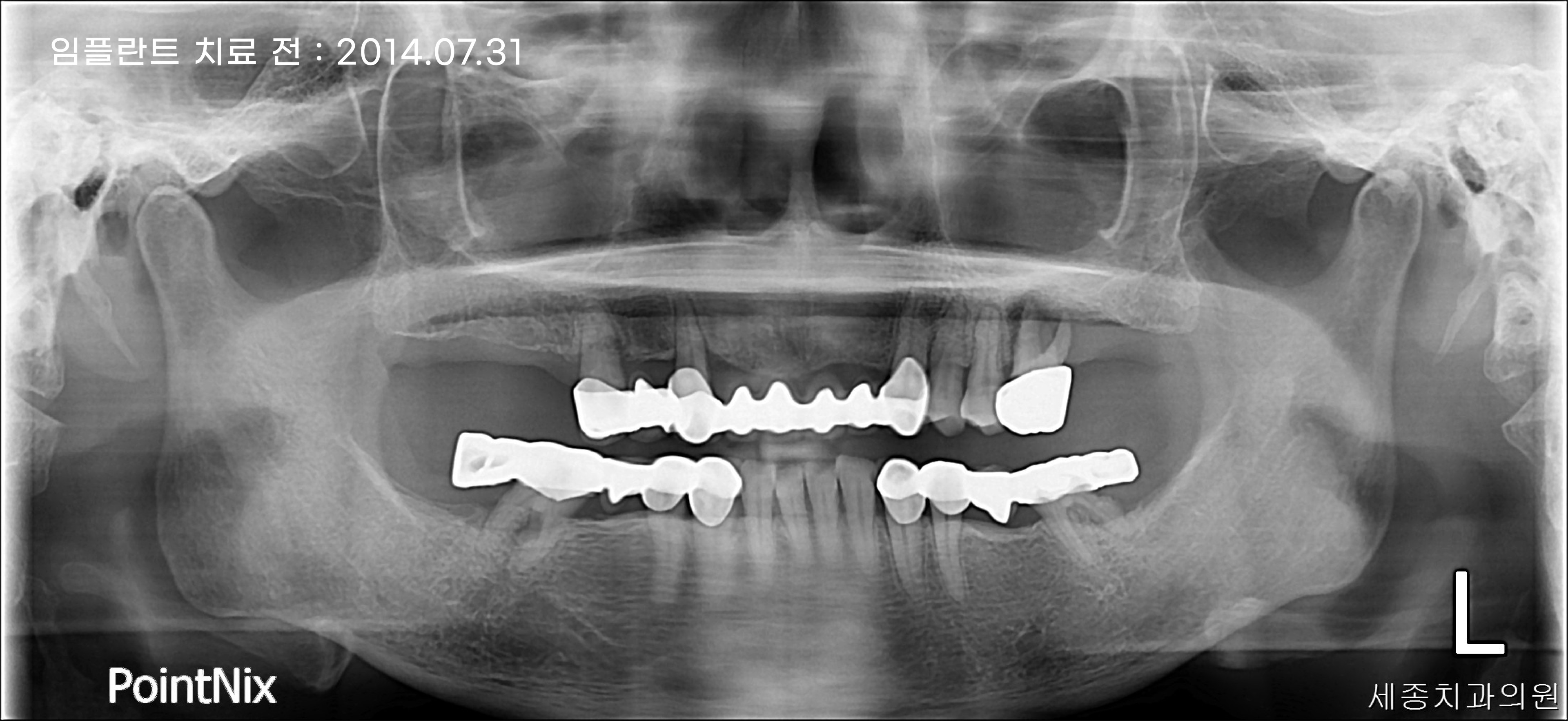
위의 파노라마 사진에서 볼 수 있듯이, 하악 기준 상실한 치아의 개수는 6개이지만 임플란트는 4개만 식립하여

1. 시술 비용 감소 2. 통증 감소 3. 회복 기간 감소 등의 장점을 얻을 수 있습니다.

 

 

 


 

 


임플란트브릿지를 오랫동안 튼튼하게 사용하려면 임플란트를 안정적으로 식립하는 것이 중요합니다.

올바른 위치와 각도, 방향으로 식립해야 골융합이 잘 일어나고 임플란트가 튼튼하게 고정될 수 있습니다.

임플란트 브릿지 치료는 다수의 상실한 치아를 대신하는 치료이기에 정성과 노력이 필요한 치료입니다.

가장 중요한 것은 의료진의 실력일 텐데요.

개원 10주년을 맞이한 부산임플란트 세종치과의 임플란트를 전담하고 있는 김성언 대표원장님께서는

20년 이상의 경력을 가지고 계시며, 수많은 치료 사례를 통해 원래 내 치아와 같은 튼튼한 임플란트를 식립해 드리고 있습니다.

 

임플란트는 충치가 생기지 않을 거 같아 구강 관리를 소홀히 하시는 분들이 계시는데요.

임플란트도 관리가 되지 않으면 치주염과 같이 임플란트 주위염이 생길 수 있어 꾸준한 검진과 관리가 필요합니다!

 

 

 

부산임플란트 세종치과는 임플란트 식립 전 / 후로 환자분의 구강을 세심하게 케어하고 있습니다.

부산임플란트 세종치과의 예방 관리 프로그램은 첨단 치과 장비와 체계적이고 다양한 검사 프로그램으로

임플란트 수명을 위협하는 문제점들을 파악하여 임플란트 재수술과 구강질환이 발생하기 전 미리 예방해 드리고 있습니다.

 


이렇게 임플란트와 브릿지는 조건에 따라 장점이 되기도 하고 단점이 되기도 합니다.

환자분에게 알맞은 치료를 위해 부산임플란트 세종치과 의료진과의 상담을 통해 좋은 방법을 선택하시길 바랍니다.

 

 

 

 



 

네이버 예약 카톡 상담
간편 로그인 서비스

간단히 로그인 하실 수 있는 임시 로그인번호를 발급해드립니다.

비밀번호를 입력해주세요.

게시물 작성 시 입력한 비밀번호를 입력하세요

등록이 완료되었습니다.
7층

접수&대기실