세종치과 의료진의
세가지 약속

치료사례

 

세종치과의 진심 어린 치료는 결과로 말합니다.
실제 내원하신 환자분들의 치료 전·후 사례를 확인해보세요.

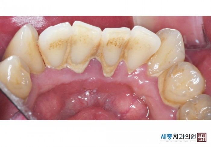
[스케일링] 치주질환 예방 스케일링
관리자 2025-09-30 79

오수민_20250910_151046.jpg

치료전 : 2025-09-10

오수민_20250910_161131.jpg

치료후 : 2025-09-10

 

가글마취&저주파 스켈러를 사용한 착색제거 스케일링 


이전글 사랑니
다음글 세종치과 TOC4U

 

네이버 예약 카톡 상담
간편 로그인 서비스

간단히 로그인 하실 수 있는 임시 로그인번호를 발급해드립니다.

비밀번호를 입력해주세요.

게시물 작성 시 입력한 비밀번호를 입력하세요

등록이 완료되었습니다.
7층

접수&대기실